りぃ歯科医院:大阪市平野区 診療時間:午前9:30〜12:30 午後3:00〜8:00(土曜日は午後2:00まで)

ホーム > 診療内容

歯周炎(歯周病、歯槽膿漏)
歯周炎とは細菌により歯の周りの組織(歯肉や歯槽骨)が吸収し、歯が抜け落ちる病気です。


治療
歯や歯の周りの検査を行い、必要に応じて歯ブラシの練習や歯石の除去、歯茎の治療を行います。
歯周病の検査は何回か行い、良好な値が出ない場合、麻酔を使って歯周治療、歯周組織の手術等を行います。
治療期間
歯周病の進行の度合いによって変わります。


治療
歯や歯の周りの検査を行い、必要に応じて歯ブラシの練習や歯石の除去、歯茎の治療を行います。
歯周病の検査は何回か行い、良好な値が出ない場合、麻酔を使って歯周治療、歯周組織の手術等を行います。
治療期間
歯周病の進行の度合いによって変わります。
歯のない所の骨中に人工歯根を埋め込み、歯として使用します。
![]() |
治療期間(6ヶ月程度) 治療条件 インプラントは感染と横の動きに弱いとされています。 従って、口の中の清掃ができる方、全身疾患がない方、歯ぎしりなどがない方等いろいろな条件があります。 |
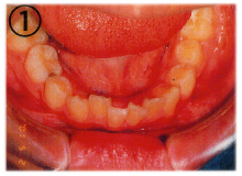
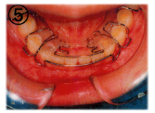
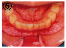
まず、矯正歯科治療とはただ単に「歯並びをきれいにする事」ではありません。
歯並びは「噛み合わせ」と「審美」に大きく影響します。
位置の悪い歯を正しい位置へ動かす事で、正しいキレイな歯並びや噛み合わせを作ります。
つまり、歯の正常な咀嚼機能を取り戻す事で“健全な身体と心をつくる”為の治療といえます。
当医院では「床(しょう)矯正」という矯正治療を実践しております。
基本的には永久歯を抜かず、顎を拡げて歯を並べる治療の事です。
床矯正で使用する装置は簡単に取り外せるので、虫歯や歯周病を患いにくく、清潔な口腔環境が保てます。
歯並びは「噛み合わせ」と「審美」に大きく影響します。
位置の悪い歯を正しい位置へ動かす事で、正しいキレイな歯並びや噛み合わせを作ります。
つまり、歯の正常な咀嚼機能を取り戻す事で“健全な身体と心をつくる”為の治療といえます。
当医院では「床(しょう)矯正」という矯正治療を実践しております。
基本的には永久歯を抜かず、顎を拡げて歯を並べる治療の事です。
床矯正で使用する装置は簡単に取り外せるので、虫歯や歯周病を患いにくく、清潔な口腔環境が保てます。
歯の表面に付いた色素を落としたり、歯の中にある色素を分解して歯を白くする技術です。
しかし、治療後のケアやメンテナンスを怠たるとまた汚れてきます。
白く美しく健康的な歯を維持し続ける為には“日常の歯のケアとメンテナンス”が必要なのです。
当医院では患者様の施術後のケア、メンテナンスのサポートもしっかりとさせていただきます。


しかし、治療後のケアやメンテナンスを怠たるとまた汚れてきます。
白く美しく健康的な歯を維持し続ける為には“日常の歯のケアとメンテナンス”が必要なのです。
当医院では患者様の施術後のケア、メンテナンスのサポートもしっかりとさせていただきます。


|
高周波治療とは電磁界作用を応用しジュール熱による温熱効果、細胞内のイオン効果、非接触照射による抗菌効果により炎症を抑制し、
神経組織や骨組織の再生を促進する療法です。
|
![]() |
- 1.歯内療法
- 抜髄には電気抜髄とも呼ばれ、高周波を用い根管内歯髄を熱で焼灼固定して、熱による殺菌を同時に行います。
- また、細かい根管や側枝ほど発熱しやすい特徴があります。
- 従来の治療法ではこの細かい部位の治療が困難でしたが、この原理によって残髄もなく根管が滅菌されます。
- 感染根管治療では根管内に通電性液体を入れ、通電し根管内温度を上昇させ、根管内を殺菌します。
- 抜髄同様、細かい根管や側枝から先に殺菌できるのが特徴です。
- 2.歯周病治療法
- 歯周治療にも効果的です。
- 歯周ポケットの殺菌、歯周ポケットの再生に用います。
- ポケット内での発熱によって殺菌効果が得られ、特に急性発作時には効果的であり、 継続使用によってポケットの際付着や骨の再生が外科手術なしで認められています。
- 従って最も生体に優しい治療方法です。
- 3.電気メス
- この高周波治療器の電気メスは通常の電気メスに比べて切れ味がよく、止血効果も高く、また治癒が早いのが特徴です。
- 4.疼痛緩和
- 感染根管・知覚過敏・術後疼痛・口内炎など高周波の温熱効果で痛みの緩和が図られます。
- 高周波の特性として、細かいところへ流れる特性がありますので毛細血管へ高周波が流れ、その時熱になり除痛効果があります。


















